【“肺腑”之言】咳嗽、发热又胸闷,小心是脓胸!



脓胸
Pyothorax
临床案例

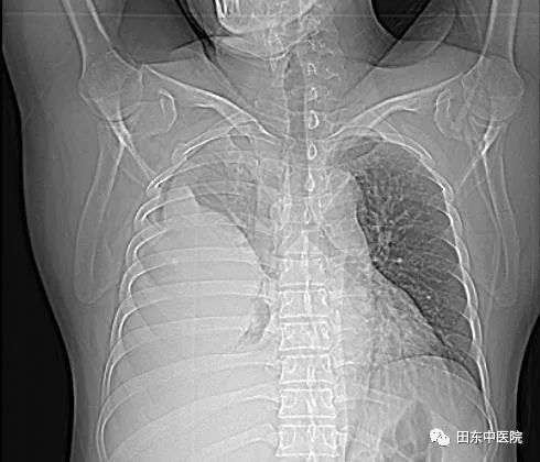
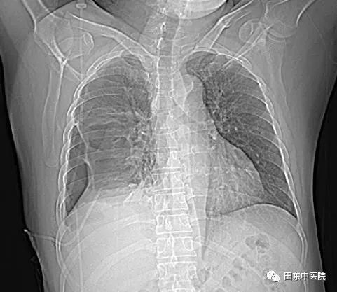
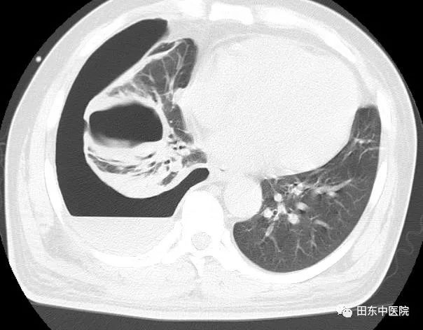
中午12点,一位体型肥胖病人走进了医生办公室,刚好交班结束的我接待了他,他自诉已胸痛了10天有余,先前因腰痛一直在院外治疗,没有好转遂到我院进行进一步的检查。详细了解完其病史后,我为其完善了体格检查:右侧胸胁部疼痛,呈持续性胀痛,有胸闷、呼吸困难,发热畏寒。查体见双侧呼吸运动不对称,两侧触觉语颤不对称,右肺叩诊浊音,右肺呼吸音消失。结合先前他在门诊做过的B超及后续补充的胸部CT结果,发现病人右侧胸腔有大量积液,为了解积液性质及缓解积液对肺脏的压迫,遂给病人行胸腔穿刺置管术,把胸腔里的积液引流出来。过程很顺利,术中抽出了约5000ml伴有腐臭气味的咖啡色脓液,术后病人的疼痛症状得到了极大的改善。

术前



术后


抽出的
脓液


医者说——脓胸


脓胸
致病菌侵入胸膜腔,产生脓性渗出液积聚于胸膜腔内的化脓性感染,称为脓胸。

脓胸
● 按发展过程:急性和慢性;
● 按致病菌:化脓性、结核性和特异病原性脓胸;
● 按波及的范围:全(弥漫性)脓胸和包裹性(局限性)脓胸。

病因
1.肺部感染:约50%的急性脓胸继发于肺部感染之后。肺脓肿可直接侵及胸膜或破溃产生急性脓胸;
2.化脓性病灶:如纵隔脓肿、膈下脓肿的致病菌经淋巴组织或直接穿破侵入胸膜腔形成脓胸;
3.胸部手术;
4.胸部创伤:胸部穿透伤后将致病菌带入胸膜腔,加之有淤血留滞不被吸收,久而久之形成化脓性感染;
5.脓毒血症:细菌可经血循环到达胸腔产生脓胸,此类多见于婴幼儿或体弱的病人;

症状
1.急性脓胸为急性起病,寒战、高热、大汗、虚脱等全身中毒症状,以及胸痛、咳嗽、胸闷、咳痰、呼吸困难等呼吸系统症状,如发生支气管-胸膜瘘时突然咳大量脓痰,有时有血性痰,气味腐臭。慢性脓胸为低热、乏力、消瘦、贫血等消耗为主,并有慢性咳嗽、咳痰、气短和胸痛,活动时呼吸困难。
2.急性期患侧胸壁红肿、发热,局部压痛,以及叩诊浊实,呼吸音减弱。慢性期患侧胸廓塌陷,呼吸运动减弱,气管和纵隔移向患侧,杵状指(趾)。

治疗
1.及时就医。尽早穿刺排脓、消灭脓腔是控制感染的关键。抽净脓液后用生理盐水灌洗,然后向胸腔内注入抗生素,如青霉素或庆大霉素,溶于10~15ml生理盐水中使用,或其他对细菌敏感的抗菌药物。如穿刺引流脓液不佳,病情进展,脓毒血症或败血症严重者,在局麻下做肋间插管闭式引流排脓,灌洗和局部抗生素注入治疗,脓腔关闭后拔管。
2.抗菌药物治疗:根据胸腔液或血培养结果和药敏试验结果,选择有效的抗菌药物,一般采用联合、足量、静脉内全身给予,疗程达4~6周。特殊菌种如结核菌、真菌、放线菌等应给予有效的抗痨方案和抗真菌治疗。
3.加强营养、补充血浆或白蛋白、维持水、电解质和酸碱平衡及对症处理。
4.外科治疗:对经内科穿刺排脓和放置引流管排脓久治(6~8周)不愈的慢性脓胸,胸膜增厚有压迫性肺不张者和有支气管胸膜瘘者,应选择外科手术治疗。

饮食
高蛋白、高热量、高维生素饮食,鼓励多饮水,如食欲差可采用少量多餐的方式。必要时静脉补液并输血。戒烟戒酒,忌辛辣刺激性的食物。
END




账号+密码登录
手机+密码登录
还没有账号?
立即注册