【走近影像】通过X线了解直背综合征

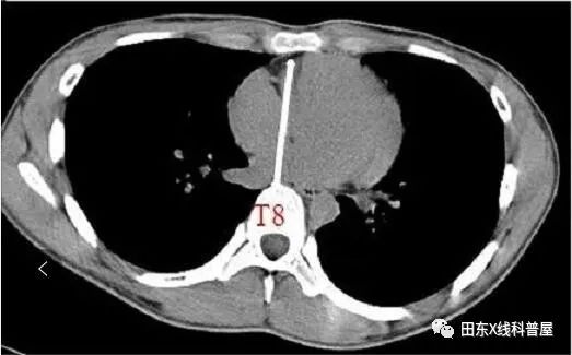
CASE 1
患者男,17岁,胸痛6年,偶有胸闷,活动后明显,休息后可缓解
曾于当地医院就诊,听诊心脏有轻微杂音(具体不详),行心脏超声检查无异常


临床观察与X线检查见直背扁胸或漏斗胸改变,心底部可闻及杂音。并要排除器质性心脏病,如肺动脉瓣狭窄、房缺、室缺、特发性肺动脉扩张等。
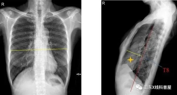
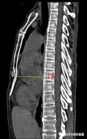
胸椎曲度弧高(左侧位胸片测量):T4-T12做一连线,测T8椎体前缘与该直线的垂直距离,其距离若<12mm,可考虑SBS。
测量胸廓前后径/横径比值≤0.33。
CASE 2
患者女,64岁,发作性心悸入院
急诊心电图:室上性心动过速,异常Q波,T波异常,右心室肥厚,心率111次/分





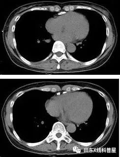
CASE 3
患者女,48岁,反复心悸、胸闷,曾行心脏检查无异常(具体不详)




直背综合征属于一种体质性的假性心脏病。尤其是对于年轻患者出现轻微心悸、胸闷、胸痛等症状时,在排除器质性心脏病的存在后,结合临床症状、心脏彩超、心电图及胸部X线等检查,可考虑本病。应常规行胸部正、侧位X线片检查,了解胸骨、胸椎情况,以免误诊。
具体出来:胸椎曲度孤高<12mm,胸廓前后径/横径比值≤0.33。
治疗:轻者无需治疗,仅需适度增加体力锻炼以加强运动能力来减轻症状。重者,应考虑通过外科手术矫正其基础骨骼畸形。




账号+密码登录
手机+密码登录
还没有账号?
立即注册