-
家住平马镇的唐大哥,自2021年起就因“反复食管胃底静脉曲张破裂出血”,被确诊为“肝肿瘤”,多次在田东县中医医院住院,进行止血、输血治疗。由于长期输血,现在已经需要通过互助献血来解决,“用血没着落,让人心里发慌”唐大哥这样说。收到了多份病危通知因多次大出血,家属们在不知不觉中收到了多份病危通知,妻儿为了照顾他,不敢外出务工,精神极度紧张。也曾尝试过胃镜下止血,但效果欠佳,大出...发布时间:2024-08-12
-
家住平马镇,65岁的言爷爷因突发头晕呕吐3小时到田东县中医医院脑病科住院治疗,行头颅CT扫描检查结果提示“蛛网膜下腔出血”,为患者进一步行脑血管造影检查时发现了一枚“不定时炸弹”一右侧颈内后交通宽颈动脉瘤(4.0*6.0mm)。动脉瘤累及了重要血管分支,极容易破裂出血。颅内动脉瘤是指脑动脉内腔的局限性异常扩大造成动脉壁的一种瘤状突出,多因脑动脉管壁局部的先天性缺陷和腔内压力增高的基础上...发布时间:2024-08-12
-
近日,田东县中医医院心病科叶丽兰电生理团队在百色市人民医院农树雄博士团队协助下,采用国产之光三维系统及压力消融导管成功为一名确诊为“青年B型预激综合征”的患者实施了全程无需X射线的射频消融术,真正实现了“绿色电生理”。这标志着我院三维心脏射频技术首次在“零射线”区域取得突破,开启了我院电生理治疗领域新篇章。 韦同学的“烦心”事朔良镇上的韦同学今年15岁,近期出现阵发性心悸、胸...发布时间:2024-08-12
-
质子泵抑制剂就是大家生活中常见的“**拉唑”的药,常见的有奥美拉唑、兰索拉唑、雷贝拉唑等。作为常用抑酸胃药,在消化科、手术科室等都有广泛应用。是药三分毒,那么这类药物在哺乳期妇女、儿童、老年人、肝肾功能不全的患者身上使用时应该注意些什么呢?肝功能不全人群质子泵抑制剂在人体内经肝脏代谢。肝功能减退时,质子泵抑制剂的选用及剂量调整须要考虑肝功能减退对药物体内代谢过程的影响,以及...发布时间:2024-08-12
-
是的,您没有看错,小儿肠套叠,不用手术,真的不用手术!又快又好,水压灌肠轻松解决它。带您详细了解一下吧!听听小方的故事近日,田东县中医医院普通外科收治了一位小患者,小方今年3岁了,家住平马镇。6月11日这天,小方一直觉得肚子疼、精神不振,妈妈把她带到了普外科门诊,经过普通外科潘洪哨医生检查,小方被确诊为小儿肠套叠。普通外科团队立刻确定治疗方案,联系B超室,在最短的时间内,为小方...发布时间:2024-08-12
-
我院自今年开展冠脉介入诊疗以来,做了不少的冠脉支架植入,但在随访过程中,发现部分患者并未按时来复查,甚至觉得没有不舒服就不来或觉得没必要来复查,这对支架术后患者来说,是非常危险的,是极其不推荐的。也经常有患者在外地做完支架后千里迢迢再次到外地复查,费尽周折挂号复查,结果发现就是抽个血,大夫咨询几分钟完事,整个过程多花钱,还费时费力。做了支架到底何时来复查,具体复查项目有哪...发布时间:2024-08-05
-
静脉输液港是一种中心静脉输液装置,避免化疗导致的周围血管损伤,陪伴了患者艰难的化疗岁月。为化疗保驾护航的输液港,在其完成使命后能顺利取出,不止是患者的福音,也是振奋我们肿瘤科团队人心的一大喜事。田东县中医医院肿瘤科有一位脑瘤术后并放化疗后的16岁患者小黄,家住平马镇。2023年7月在外院治疗后出现骨髓抑制到我院肿瘤科就医,入院时白细胞、血小板严重低下,小黄当时精神萎靡、身形消瘦、...发布时间:2024-07-30
-
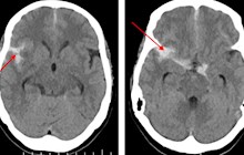
2024年6月19日,家住平马镇的黄阿姨和家人在家中休息,下午15点左右,黄阿姨突然感觉头晕目眩,反胃,恶心呕吐,视物旋转,伴头痛,家人立即送至田东县中医医院急诊科,急诊医生接诊后,考虑脑血管意外,于是立即启动卒中急救绿色通道。急诊头颅CT显示蛛网膜下腔出血,建议行CT血管成像(CTA)进一步检查排除动脉瘤破裂出血。入院时头颅CT出血灶经田东县中医医院脑病科技术主任龙少根副主任医师会诊后,...发布时间:2024-07-19
-
家住平马镇的李叔,7月3日上午因高烧41℃、全身无力、头晕眼花、恶心呕吐,在家自行口服药物无好转,遂来到田东县中医院医院肺病科住院治疗。经过检查,胸部CT提示肺炎。李叔平日里小心谨慎,没想到还是不小心“阳”了。这次病毒来势汹汹,李叔年纪大,基础疾病多,抗感染、抗病毒治疗持续了3天,可效果并不好,为其升级使用了3天更高级的抗生素,仍反复高热达41℃。为进一步查找病因,肺病科医师团队经...发布时间:2024-07-18
-
右膝关节疼痛的韦阿姨家住朔良镇的54岁的韦阿姨,因跌伤导致右膝部肿痛、活动受限10多天,在院外保守治疗一直未见好转,影响日常生活起居,于是在2024年7月4日这天转来中医院就诊。我院骨伤科二区副主任农达杰副主任医师对患者进行检查后诊断为右膝关节半月板损伤,右膝关节积液。为尽早使患者康复,莫欣副主任医师为患者实施B超引导下肌骨介入治疗。做完治疗后,韦阿姨走路竟然不痛了!韦阿姨非常高兴,...发布时间:2024-07-12

账号+密码登录
还没有账号?
立即注册