头痛头晕还恶心,别大意!脑血管造影(DSA)检查有必要
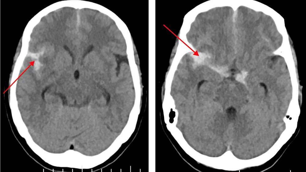
2024年6月19日,家住平马镇的黄阿姨和家人在家中休息,下午15点左右,黄阿姨突然感觉头晕目眩,反胃,恶心呕吐,视物旋转,伴头痛,家人立即送至田东县中医医院急诊科,急诊医生接诊后,考虑脑血管意外,于是立即启动卒中急救绿色通道。急诊头颅CT显示蛛网膜下腔出血,建议行CT血管成像(CTA)进一步检查排除动脉瘤破裂出血。

入院时头颅CT出血灶
经田东县中医医院脑病科技术主任龙少根副主任医师会诊后,收入脑病科住院治疗,龙少根认为患者病情符合行全脑血管造影术(DSA)指征,以进一步明确出血病因。后与患者家属沟通告知行DSA检查必要性和可能存在的风险,征得家属同意,于2024年6月20日行DSA,术中见脑动静脉大致正常,排除微小动脉瘤、颅内血管夹层、烟雾病及其他血管病变。
次日,我院联盟协助单位广西中医药大学第一附属医院刘泰教授专家团队的窦维华主任联合脑病科查房,表示患者术中未见动脉瘤,继续积极保守治疗方案,同时行腰椎穿刺术减轻颅内高压,控制好患者血压情况等意见及建议。

窦维华主任查房中
住院期间黎荣营主治医师多次予黄阿姨行腰椎穿刺术减轻颅内高压,减少出血、减轻头痛等,从而减轻病人的痛苦。

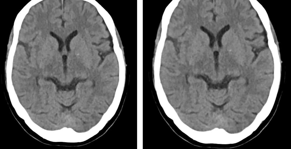
经治疗后,黄阿姨症状消失,恢复正常,复查头颅CT出血灶基本吸收,顺利出院。

出院前复查头颅CT图片,出血已基本消失
黄阿姨激动地说:“多亏了你们给我精心又及时的治疗,我终于好转可以出院了,谢谢你们!”龙主任却说:“看着你们快速康复出院,就是我们最大的心愿!”


账号+密码登录
手机+密码登录
还没有账号?
立即注册