挽救心肌 刻不“溶”缓——我院开展首例静脉溶栓联合PCI成功救治一例院内突发STEMI患者


近日,我院心病科、肺病科、ICU(重症医学科)医护团队在面对急性心肌梗死这一心血管疾病的“头号死神”,凭借快速的应急能力和急救水平,与时间赛跑,通过静脉溶栓+PCI(经皮冠状动脉内支架植入术)成功救治一例急性前壁ST段抬高型心肌梗死的患者。

我院首例
静脉溶栓+PCI救治急性ST段抬高型心肌梗死的
成功病例

76岁的卢奶奶
因“咳嗽、肺部感染、流感”住院在肺病科
住院期间突发胸痛
完善心电图提示前壁导联ST段抬高
考虑STEMI(急性ST段抬高型心肌梗死)
立即启动胸痛绿色通道,吸氧、监护等
经心病科会诊后
迅速复查心电图、完善心肌三联标志物
通过溶栓筛查
排除了禁忌症
与家属充分沟通并签署知情同意书后
为患者进行了TNK(替奈普酶)静脉溶栓治疗


溶栓后转至ICU监护
并评估溶栓效果
行GRACE评分
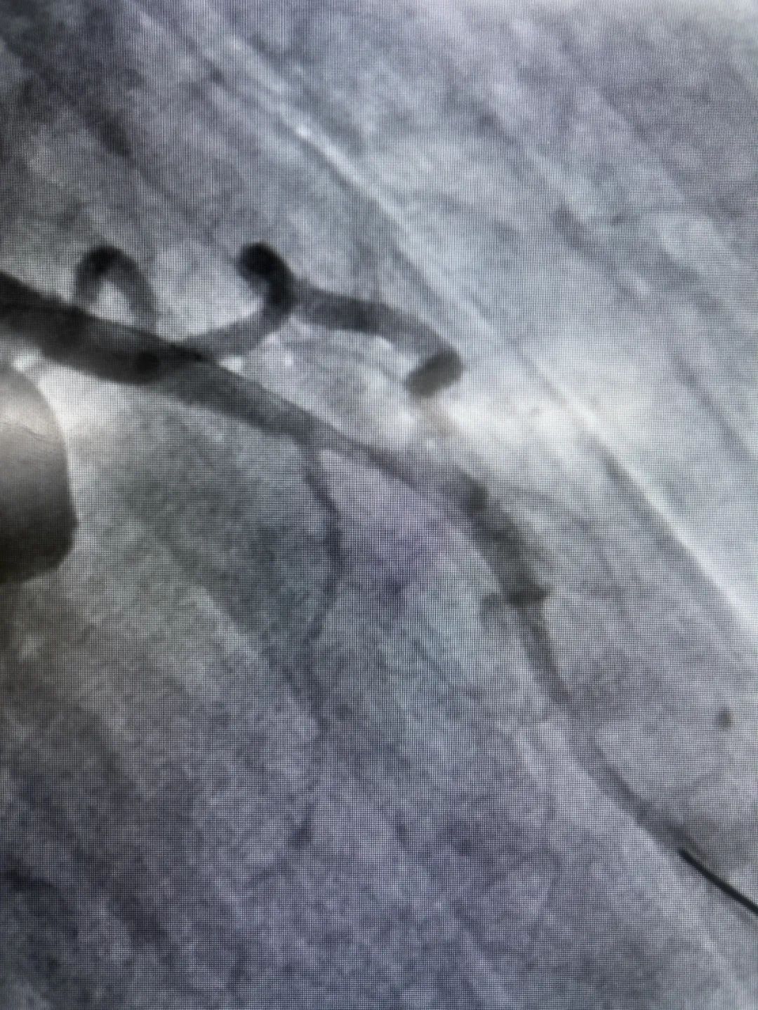
在溶栓20小时后由心病科介入团队为患者行冠脉造影术
发现前降支近中段狭窄75%
予植入支架1枚
TIMI血流3级

术前

术后
术后送回ICU监护
目前患者恢复良好


心梗究竟是怎么回事?
心肌梗死实际上是冠状动脉突然中断供血引起的、持续的心肌的缺血进而导致心肌的坏死。多数心梗是冠状动脉粥状硬化,导致血管管腔严重狭窄或闭塞,使远端心肌细胞出现急剧缺血、缺氧,少数情况下可因血管持续痉挛导致冠状动脉明显收缩或闭塞引起。如果能够发现心梗的先兆,及时就医,可以在很大程度上有效避免心梗的发生。
如何及时识别心梗?

最早出现的症状一般是疼痛,这种不适感一般持续20分钟以上不缓解,大多数疼痛部位在心前区或者是胸骨后的疼痛,但是还有的人表现是胸闷、呼吸困难、咽喉紧缩疼痛、牙痛、下颌痛、肩臂痛、后背痛等不适,由于表现多样,所以心梗发生后会误认为胃痛、牙痛或者肩周痛而被忽视,错过最佳治疗时间。





图/文:叶丽兰(心病科)
编辑:零冬钰
校对:言伟
审核:黄伟毅 刘德辉


账号+密码登录
手机+密码登录
还没有账号?
立即注册