【骨伤科精读】治骨折 不开刀——尺桡骨骨折手法复位



中医正骨疗法具有悠久的历史,3000年前的周代就有专治骨折的医生。清代《医宗金鉴》总结前人正骨经验,提出了摸、接、端、提、推、拿、按、摩八法,称正骨八法,是中医骨伤学的瑰宝,凝聚了无数中医医者的智慧。
田东县中医医院骨伤科,秉承“能保守不开刀,能微创不切开,手术配合中医药疗法”的治疗理念,采用传统正骨手法与现代科技相结合,最大限度减少患者病痛,恢复患者健康。


临床病例
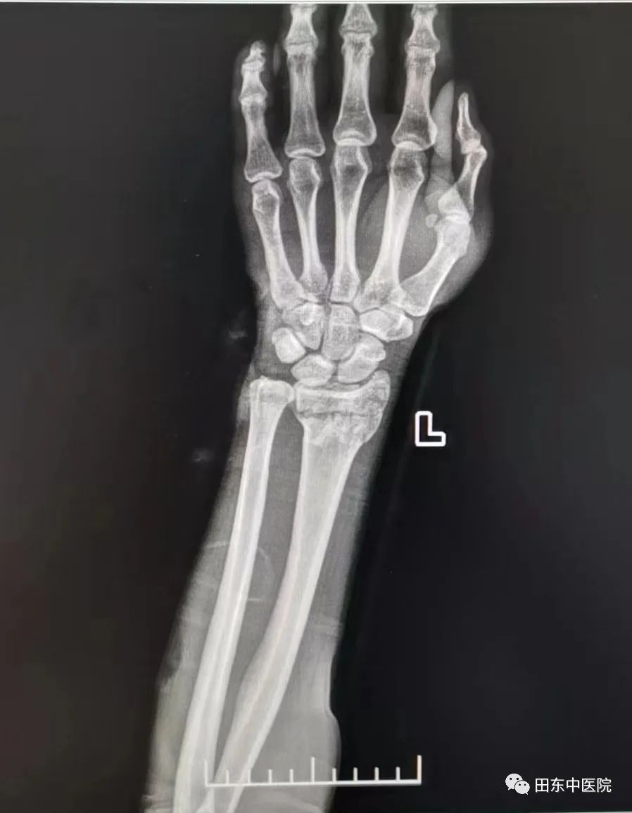
48岁的李叔(化名)从1.2米的施工凳子上不慎坠落导致左腕部肿胀、畸形,在家人的陪同下来到我院骨伤科就诊,经拍片检查后诊断为:左尺桡骨远端开放性骨折并尺桡腕关节半脱位。接诊的医生看过后,向骨伤科二区农达杰主任汇报病情,农主任决定为其行手法复位治疗。




▲左尺桡骨远端开放性骨折并尺桡腕关节半脱位
患者创面清洗消毒干净后,病人平卧,腕关节外展30°~40°,肘关节屈曲90°,前臂中立位。农主任用手触摸骨折部位,确切了解骨折端在肢体内移位具体方位,再与X线片所显示骨折移位情况结合,持握患者手拇指及四指,另一助手握住患肢前臂近肘关节部,做对抗牵引,持续2-3分钟,使骨折端嵌插完全解脱。农主任两拇指抵压于突出骨折端,其余两手四指重叠环抱下陷另一骨折端,增大其原有成角,两拇指再用力向下挤压突出骨折端,待两拇指感到两断端已在同一平面时,及时反折伸直,复位成功后上夹板外固定。
固定后经复查拍片显示:原左侧桡骨远端断端对位线尚可,左腕关节在位。农主任嘱咐患者注意手部皮肤颜色,观察末梢血液循环、感觉及运动情况,指导患者进行握拳伸掌功能锻炼,患肢前臂中立位固定于胸前或放置于身侧。


复位


田东县中医医院骨伤科自成立以来,始终坚持走中西医结合道路,始终坚持“以病人为中心,全心全意为病人服务”的服务宗旨,始终坚持“能简单,不复杂;能保守,不手术”的服务理念,为患者提供超值的医疗优质服务,让患者深切感受到绿色、自然、安全、高效、费用实惠的特色治疗。

-END-




账号+密码登录
手机+密码登录
还没有账号?
立即注册